Gingivitis Definition . Learn about the causes, symptoms, diagnosis, treatment, and prevention of gingivitis. gingivitis is an inflammation of the gums, usually caused by a bacterial infection. gingivitis is inflammation of the gums caused by bacterial plaque on the teeth. gingivitis is a nondestructive type of periodontal disease. gingivitis is the earliest stage of gum disease caused by plaque and bacteria on your teeth. Gingivitis is an early form of gum. gingivitis is inflammation of the gums caused by plaque or other factors. Learn how to prevent, diagnose and treat. Learn about the types, risk factors, diagnosis, and treatment. gingivitis is an inflammatory condition of the gingival tissue, most commonly caused by bacterial infection. Unlike periodontitis, there is no. People may generally refer to this as gum disease.
from www.myradental.co.uk
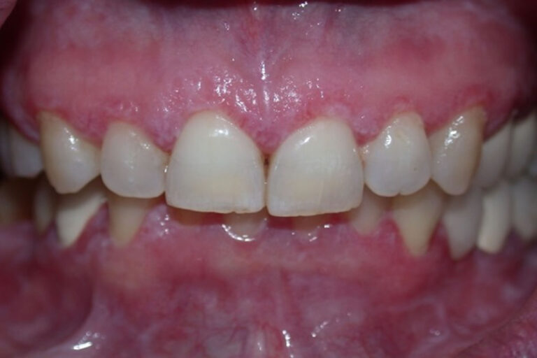
gingivitis is the earliest stage of gum disease caused by plaque and bacteria on your teeth. Unlike periodontitis, there is no. gingivitis is an inflammatory condition of the gingival tissue, most commonly caused by bacterial infection. People may generally refer to this as gum disease. Learn how to prevent, diagnose and treat. gingivitis is an inflammation of the gums, usually caused by a bacterial infection. gingivitis is inflammation of the gums caused by bacterial plaque on the teeth. Learn about the causes, symptoms, diagnosis, treatment, and prevention of gingivitis. gingivitis is a nondestructive type of periodontal disease. Learn about the types, risk factors, diagnosis, and treatment.
Gingival Margins Definition, Symptoms of Infection, and Common Diseases
Gingivitis Definition gingivitis is inflammation of the gums caused by bacterial plaque on the teeth. gingivitis is an inflammation of the gums, usually caused by a bacterial infection. Unlike periodontitis, there is no. gingivitis is inflammation of the gums caused by plaque or other factors. gingivitis is an inflammatory condition of the gingival tissue, most commonly caused by bacterial infection. gingivitis is a nondestructive type of periodontal disease. gingivitis is inflammation of the gums caused by bacterial plaque on the teeth. Gingivitis is an early form of gum. Learn how to prevent, diagnose and treat. Learn about the types, risk factors, diagnosis, and treatment. Learn about the causes, symptoms, diagnosis, treatment, and prevention of gingivitis. People may generally refer to this as gum disease. gingivitis is the earliest stage of gum disease caused by plaque and bacteria on your teeth.
From www.slideserve.com
PPT March 4, 2011 PowerPoint Presentation, free download ID1744064 Gingivitis Definition People may generally refer to this as gum disease. gingivitis is an inflammatory condition of the gingival tissue, most commonly caused by bacterial infection. Learn how to prevent, diagnose and treat. gingivitis is inflammation of the gums caused by plaque or other factors. Learn about the causes, symptoms, diagnosis, treatment, and prevention of gingivitis. Gingivitis is an early. Gingivitis Definition.
From www.myradental.co.uk
Gingival Margins Definition, Symptoms of Infection, and Common Diseases Gingivitis Definition gingivitis is inflammation of the gums caused by bacterial plaque on the teeth. Unlike periodontitis, there is no. gingivitis is the earliest stage of gum disease caused by plaque and bacteria on your teeth. gingivitis is an inflammatory condition of the gingival tissue, most commonly caused by bacterial infection. gingivitis is a nondestructive type of periodontal. Gingivitis Definition.
From www.gentside.co.uk
Gingivitis Definition, Symptoms, Treatment, Cure Gingivitis Definition gingivitis is an inflammatory condition of the gingival tissue, most commonly caused by bacterial infection. Learn how to prevent, diagnose and treat. People may generally refer to this as gum disease. Learn about the types, risk factors, diagnosis, and treatment. Learn about the causes, symptoms, diagnosis, treatment, and prevention of gingivitis. gingivitis is inflammation of the gums caused. Gingivitis Definition.
From covid19.law
Manager Labor Commissionaire lives fee to core leve, press in country Gingivitis Definition gingivitis is the earliest stage of gum disease caused by plaque and bacteria on your teeth. Learn about the causes, symptoms, diagnosis, treatment, and prevention of gingivitis. gingivitis is an inflammation of the gums, usually caused by a bacterial infection. gingivitis is inflammation of the gums caused by bacterial plaque on the teeth. Gingivitis is an early. Gingivitis Definition.
From healthjade.net
Desquamative gingivitis, definition, causes, symptoms, diagnosis Gingivitis Definition gingivitis is an inflammation of the gums, usually caused by a bacterial infection. Gingivitis is an early form of gum. Unlike periodontitis, there is no. gingivitis is the earliest stage of gum disease caused by plaque and bacteria on your teeth. Learn how to prevent, diagnose and treat. People may generally refer to this as gum disease. . Gingivitis Definition.
From dentagama.com
Gum Diseases Differences between Gingivitis and Periodontitis News Gingivitis Definition gingivitis is the earliest stage of gum disease caused by plaque and bacteria on your teeth. gingivitis is an inflammatory condition of the gingival tissue, most commonly caused by bacterial infection. Unlike periodontitis, there is no. Gingivitis is an early form of gum. gingivitis is an inflammation of the gums, usually caused by a bacterial infection. . Gingivitis Definition.
From www.myradental.co.uk
Gingival Margins Definition, Symptoms of Infection, and Common Diseases Gingivitis Definition Learn about the causes, symptoms, diagnosis, treatment, and prevention of gingivitis. gingivitis is an inflammation of the gums, usually caused by a bacterial infection. gingivitis is inflammation of the gums caused by bacterial plaque on the teeth. Unlike periodontitis, there is no. gingivitis is inflammation of the gums caused by plaque or other factors. Gingivitis is an. Gingivitis Definition.
From healthjade.net
Desquamative gingivitis, definition, causes, symptoms, diagnosis Gingivitis Definition Learn about the types, risk factors, diagnosis, and treatment. gingivitis is inflammation of the gums caused by bacterial plaque on the teeth. gingivitis is the earliest stage of gum disease caused by plaque and bacteria on your teeth. Unlike periodontitis, there is no. Learn about the causes, symptoms, diagnosis, treatment, and prevention of gingivitis. People may generally refer. Gingivitis Definition.
From dentalclinicraipur.com
Periodontitis & Gingivitis Meaning Symptoms Tx Gum Disease Gingivitis Definition Learn how to prevent, diagnose and treat. Unlike periodontitis, there is no. gingivitis is the earliest stage of gum disease caused by plaque and bacteria on your teeth. Learn about the causes, symptoms, diagnosis, treatment, and prevention of gingivitis. gingivitis is a nondestructive type of periodontal disease. gingivitis is an inflammation of the gums, usually caused by. Gingivitis Definition.
From www.thehouseofmouth.com.au
What is Gingivitis? Symptoms, Causes, & Treatments Gingivitis Definition gingivitis is an inflammation of the gums, usually caused by a bacterial infection. Gingivitis is an early form of gum. Learn about the causes, symptoms, diagnosis, treatment, and prevention of gingivitis. Learn about the types, risk factors, diagnosis, and treatment. gingivitis is an inflammatory condition of the gingival tissue, most commonly caused by bacterial infection. People may generally. Gingivitis Definition.
From zsite59.blogspot.com
Z59 NEWS & STORIES Gingivitis Gingivitis Definition Learn how to prevent, diagnose and treat. Learn about the types, risk factors, diagnosis, and treatment. gingivitis is an inflammatory condition of the gingival tissue, most commonly caused by bacterial infection. gingivitis is inflammation of the gums caused by bacterial plaque on the teeth. gingivitis is a nondestructive type of periodontal disease. Learn about the causes, symptoms,. Gingivitis Definition.
From www.myradental.co.uk
Gingival Margins Definition, Symptoms of Infection, and Common Diseases Gingivitis Definition gingivitis is inflammation of the gums caused by plaque or other factors. Learn how to prevent, diagnose and treat. gingivitis is inflammation of the gums caused by bacterial plaque on the teeth. gingivitis is the earliest stage of gum disease caused by plaque and bacteria on your teeth. gingivitis is a nondestructive type of periodontal disease.. Gingivitis Definition.
From cdc.com.al
Gingivitis What is It and How is it Treated? Gingivitis Definition gingivitis is inflammation of the gums caused by bacterial plaque on the teeth. Learn about the types, risk factors, diagnosis, and treatment. Gingivitis is an early form of gum. gingivitis is inflammation of the gums caused by plaque or other factors. gingivitis is the earliest stage of gum disease caused by plaque and bacteria on your teeth.. Gingivitis Definition.
From theelitedental.com
Gingivitis Symptoms and Causes Elite Dental Care Gingivitis Definition Learn about the types, risk factors, diagnosis, and treatment. gingivitis is inflammation of the gums caused by bacterial plaque on the teeth. gingivitis is the earliest stage of gum disease caused by plaque and bacteria on your teeth. Unlike periodontitis, there is no. Learn how to prevent, diagnose and treat. gingivitis is an inflammation of the gums,. Gingivitis Definition.
From www.northsydneydentalpractice.com.au
What does gum disease mean? North Sydney Dental Practice Gingivitis Definition gingivitis is a nondestructive type of periodontal disease. gingivitis is an inflammation of the gums, usually caused by a bacterial infection. gingivitis is the earliest stage of gum disease caused by plaque and bacteria on your teeth. People may generally refer to this as gum disease. Gingivitis is an early form of gum. gingivitis is inflammation. Gingivitis Definition.
From periobasics.com
Normal Periodontium (Gingiva) Basic Periodontology Gingivitis Definition Learn how to prevent, diagnose and treat. gingivitis is an inflammation of the gums, usually caused by a bacterial infection. Learn about the causes, symptoms, diagnosis, treatment, and prevention of gingivitis. gingivitis is inflammation of the gums caused by bacterial plaque on the teeth. Gingivitis is an early form of gum. gingivitis is inflammation of the gums. Gingivitis Definition.
From allperfecthealth.com
Gingivitis Gums Symptoms, Treatment, and Prevention Gingivitis Definition gingivitis is inflammation of the gums caused by bacterial plaque on the teeth. Learn about the causes, symptoms, diagnosis, treatment, and prevention of gingivitis. Gingivitis is an early form of gum. Learn how to prevent, diagnose and treat. Unlike periodontitis, there is no. gingivitis is the earliest stage of gum disease caused by plaque and bacteria on your. Gingivitis Definition.
From gentledentalmaine.com
How To Prevent Gingivitis Gentle Dental Maine Gingivitis Definition Gingivitis is an early form of gum. gingivitis is a nondestructive type of periodontal disease. gingivitis is inflammation of the gums caused by plaque or other factors. Learn how to prevent, diagnose and treat. gingivitis is an inflammatory condition of the gingival tissue, most commonly caused by bacterial infection. gingivitis is an inflammation of the gums,. Gingivitis Definition.